Aesthetic
審美歯科
おか歯科の審美歯科治療
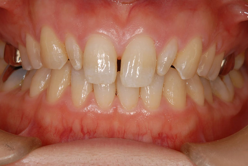
Before
After
審美歯科治療を成功させるためには、術前の正確な診査・診断と歯科医の確かな技術力、患者さんへの分かりやすい説明、歯を作ってくれる担当技工士さんとの連携が大切です。
審美歯科治療を考えている方は、症例集を参考にしてみてください。
| 治療内容 | ラミネートベニア |
|---|---|
| 費用 | ¥121,000×4歯 |
| 治療期間・回数 | 3週間/3回 |
| リスク・副作用 |
|
おか歯科が提供できる審美歯科治療

当院の審美歯科治療は、まず土台となる歯や歯ぐきの基礎治療を高度先進医療の顕微鏡歯科治療で行い、治療後歯が長持ちするようにしています。その上で美しさを保てる被せ物を、トップクラスの技術力を持つ技工士さんに作ってもらい、顕 微鏡歯科治療の精密治療で施します。 美しく、そして治療後長持ちすることが、当院が提供できる審美歯科治療です。
当院が目指す審美歯科治療
お顔とのバランスを判断して行う治療

当院では、より美しい口もとを追求できるよう、患者さんのお顔のバランス(骨格)から判断し、より良い治療方法をご提案しております。美しく見えるためには、顔の骨格系と歯並びのバランスが取れていることも条件になってきます。そのため歯並びを事前に整えた方がいいときには、矯正歯科治療を審美歯科治療に組み入れるこ ともあります。
一人ひとりの希望に寄り添った診療

当院では、審美的欲求や審美治療に対する希望が人それぞれ違うということ似合わせてるため、治療前に説明する時間を設け、各個人に合わせた治療方法や治療費の提案をするようにしていま す。治療方法、治療費、治療期間にご納得いただいた上で治療に入っていくようにしています。
ご提供している審美歯科治療
ラミネートベニア
保険診療で行うCADCAMやレジンを使用した治療ではなく、差し歯より歯を削らず見た目の改善をいっきに行う治療方法です。
見た目も美しく、身体に優しい耐久性が高いセラミック素材を使用します。ラミネートベニアは差し歯みたいに長い年月が経つと歯の付け根が黒くなることもありません。
前歯部の審美性を求める方にはおすすめの治療方法です
