Orthodontics
矯正歯科
おか歯科の矯正歯科治療
ただ矯正治療を行うだけでなく、口腔環境全体を考慮した治療をご提供しております。
丁寧に検査・診断した後、より一人ひとりに合った治療をご提案させていただきます。
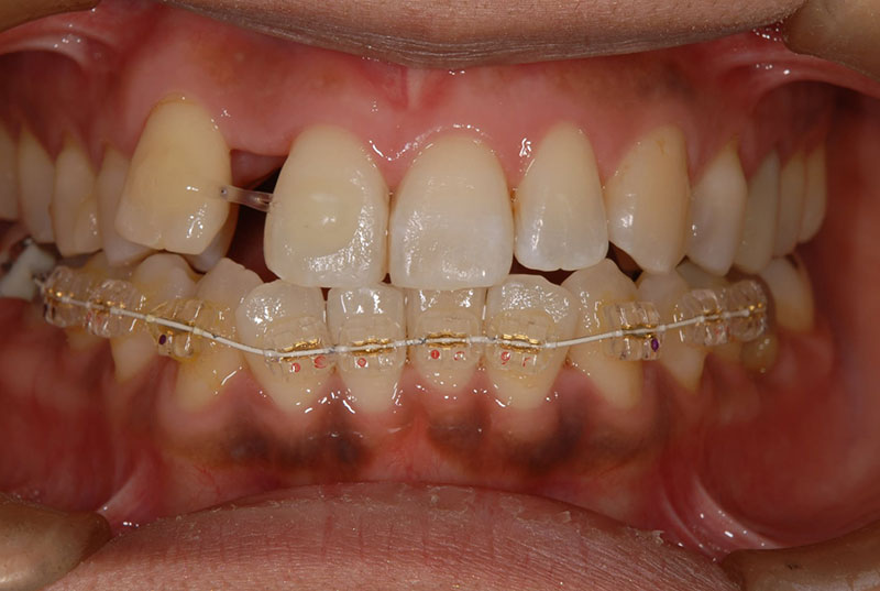
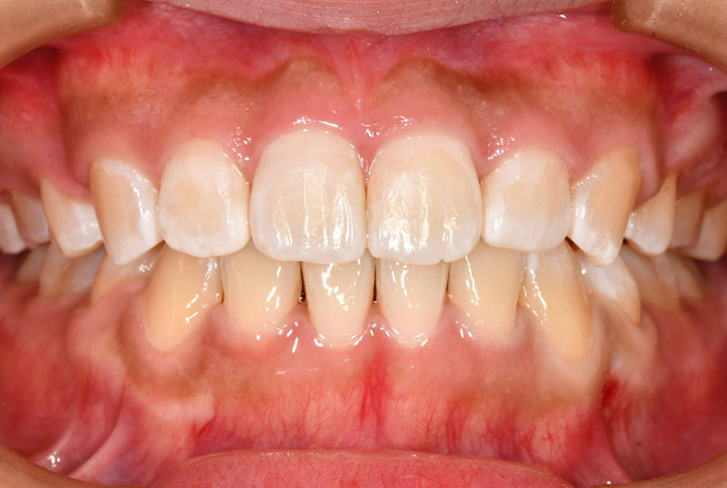
治療をお考えの方は、症例集を参考にしてみてください。
| 治療内容 | ブラケット矯正 |
|---|---|
| 費用 | ¥715,000 |
| 治療期間・回数 | 2年半 / 30回 |
| リスク・副作用 |
|
当院の「包括歯科診療」をベースにした矯正歯科のポイント
包括歯科診療が可能になる
当院では歯周病によって歯が移動してしまった場合や歯が抜けた後放置していたために、歯並びが乱れた場合などに行う「部分矯正治療・補綴前矯正治療」を受けることができます。口腔環境の土台となる歯並びを改善することで、歯周病治療、審美歯科治療、欠損補綴治療(歯がない所に歯を作る治療)の質が上がって、きれいで歯が長持ちする包括歯科診療が可能になります。
自分の歯を残せる可能性が高まる
虫歯や歯周病になってしまった時、いくら症状に対する治療を繰り返しても根本原因は改善されません。歯並びを正すことは、お口の中全体のバランスを整えることに繋がるので、他の治療も上手くいきやすくなります。自分の歯を残す治療をしたい方は一度歯並びを見直します。
歯磨きがしやすく、綺麗な口腔環境を保てる
歯が綺麗に並ぶことで歯ブラシが隅々まで届きやすくなり、磨き残しが少なくなります。よって虫歯・歯周病リスクが軽減されて、綺麗な口腔環境を維持することに繋がります。
部分矯正治療
当院では歯が重なっていたり(クロスバイト)、ひどい虫歯のため歯茎に根っこが埋まっていたり、下の前歯だけ歯並びが乱れていたり、奥歯が斜めになっているためブリッジが不可能な場合に行う部分的な矯正治療も行なっています。部分矯正(LOT)を治療に取り入れることで、治療の質が向上します。
歯並びを整えると改善すること
歯磨きが隅々まで出来るようになり、虫歯・歯周病予防になる

歯並びを整えることは、見た目の改善だけでなく、口腔衛生にも貢献してくれるのがメリットです。歯並びが良くなれば、歯ブラシが隅々まで届きやすくなり、歯垢や食べかすを効果的に取り除けます。結果的に、虫歯や歯周病の予防効果が高まり、口腔内全体の健康を保てます。
自信のある笑顔で、発音が改善される

歯並びの乱れは、見た目の印象だけでなく、笑顔になることや言葉の発音にも影響を及ぼします。矯正治療を受けて歯並びが整うと、自信を持って笑顔を見せられるようになり、人とのコミュニケーションもよりスムーズになります。このような変化は、人間関係の向上にもつながる可能性があります。心の健康にも良い影響を与えるのは矯正歯科のメリットの一つです。
全身のバランスが整い、姿勢や肩凝りが改善される

噛み合わせの異常は、顎関節症や体の姿勢の悪化、慢性的な肩や腰の痛みなどを引き起こす原因となることがあります。一方、正しい噛み合わせは、食べ物をしっかりと噛むことを可能にし、消化吸収機能の改善につながります。矯正治療は、口腔内の健康だけでなく、身体全体の健康維持にも役立つ重要な歯科治療なのです。
大人(永久歯)の歯列矯正
大人の矯正では、残存歯の乱れによる矯正(LOT)と、審美性を求めた矯正(COT)があります。
部分矯正治療・補綴前矯正治療(LOT)

歯周病や歯が抜けた後を放っておいたために、残っている歯が動いてきて、見た目や噛み合わせが狂ってきた方の治療法です。
-
治療期間・回数 6ヵ月~2年・6~24回程度
矯正治療(COT)

全部自分の歯がそろっていて虫歯や歯周病もなく、見た目や噛み合わせの改善目的で行う比較的若い方の治療法です。
-
治療期間・回数 2年~3年・24~36回程度
子ども(乳歯~永久歯生え変わり)の歯列矯正
子どもは歯が生え変わるタイミングで顎も成長していくため、歯並びや噛み合わせが変化していきます。
年齢と成長に合わせた矯正方法を行います。
第一期矯正(7歳くらい~)

第一期矯正とは、乳歯から永久歯への生え変わりが始まる時期に行われる矯正治療のことです。この時期に、特別な装置を使って上下の顎の大きさや位置を調整し、永久歯が正しい位置に生えるためのスペースを作ります。早期矯正治療を行えば、将来的な歯並びの問題を予防し、より短期間で簡単な治療で済む可能性が高まるのです。
-
治療期間・回数 1年半~2年・18~24回程度
第二期矯正(12歳くらい~)

永久歯が生え揃う時期(12歳ごろ〜)から開始する本格的な矯正治療です。美しい歯並びと機能的な噛み合わせを手に入れることを目指します。従来からあるブラケットやワイヤーを使った矯正方法とマウスピースを用いた矯正方法を選べます。
-
治療期間・回数 2年~3年・24~36回程度
矯正歯科の注意点・料金
矯正歯科の注意点
- 歯周病や抜歯後の放置で歯並びが乱れた時は、長い年月をかけて悪くなっているため、残念ながら部分矯正治療・補綴前矯正治療(LOT)を行っても短期間の治療では治りません。しかし、時間と費用をかけて根気強く治療すれば、必ず見た目と噛み合わせも改善され生活の質が向上します。
- 小児矯正では、第一期矯正を行っても、大人になってから改めて矯正が必要になる場合がございます。
- 矯正歯科は自費診療となるため、費用がかかります。
- 症例によっては適用できなかったり、他の治療を優先する場合がございます。
矯正歯科の料金
料金は全て税込みとなります。
| 部分矯正治療・補綴前矯正治療 | ¥165,000〜¥605,000 |
|---|---|
| 矯正治療(COT) | ¥715,000〜¥770,000 |
| 調整料(毎月) | ¥3,850 |
| マウスピースリテーナー代(矯正後) | ¥5,500 |
| 第一期矯正 | ¥440,000 |
| 第二期矯正(一期矯正から移行した場合) | ¥330,000 |
