Caries
虫歯治療
おか歯科の虫歯治療
当院では、保険診療でもなるべく金属を使わない虫歯治療を行なっております。治療をお考えの方は、症例集を参考にしてみてください。
| 治療内容 | CAD CAM冠(被せ物) |
|---|---|
| 費用 | 約¥6,000~¥8,000/本(保険適応3割負担) |
| 治療期間・回数 | 2週間/2回(1本につき) |
| リスク・副作用 |
|
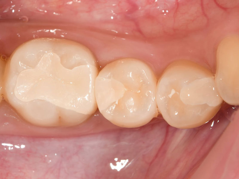
大臼歯(奥歯)適応になったPEEK冠

大臼歯(奥歯)は噛む力が強くかかるため、CAD CAM冠が短期間で割れたり、外れたり、すり減ったりする事が頻繁に起きてきていました。それを補う被せ物としてPEEK冠という材料が保険適応になり、現在保険適応の大臼歯の被せ物はPEEK冠になります。
色調がチョーク色で真っ白なため審美性は落ちますが、現状では銀歯よりマシだと考えています。
(※最後方の大臼歯で歯の高さがない時、又は非常に噛む力が強い方、噛み合わせの状態が悪い方、ブリッジの方は従来の銀歯を選択するケースがあります。)
自費診療(セラミック)のメリット・デメリット
メリット
劣化がほとんど起こらない
セラミックは劣化がほとんど起こりません。セラミック(陶磁器)でできたお皿や陶器なら1000年前の物でも、キレイな状態を保っているほどです。
変形しづらい
セラミックは変形しづらいです。そのため隙間ができにくいのがメリットです。
汚れが付きにくい
セラミックは陶器の皿と同じで表面がとてもツルツルしているので、汚れが付きにくくまた付いても汚れを落としやすいので虫歯予防の効果が高いです。
デメリット
保険診療に比べて高い
保険がきかないため全額自己負担となり、治療費が高額になります。
一回の治療時間が長い
精密な治療を行うため保険診療より時間がかかります。
保険診療(CAD CAM)のメリット・デメリット
メリット
保険適応なので比較的安価で虫歯治療が受けられる
セラミックに比べ材料費・技工料金が安く、保険診療は治療費を一部負担するだけなので安価で治療が受けられます。
虫歯治療後が銀歯より白くて目立たない
レジンは比較的天然歯の色に近いので銀歯より目立ちません。
金属アレルギーの心配が無い
レジンは金属を含まないので金属アレルギーの心配がありません。
デメリット
早期に劣化が起きる可能性がある
CAD CAMはレジンとセラミックを混ぜ合わせたハイブリッドレジンといわれる材料です。セラミックは入っていますが、実質はほぼレジン系の材料なので劣化が起きやすいです。
変形しやすい
セラミックより変形しやすく、削れていきやすいので噛み合わせの安定性に欠けます。
汚れが付きやすい
CAD CAMはレジン系の材料なので、は歯垢(プラーク)が付着しやすく、セラミックより虫歯予防効果が落ちます。。

※CAD CAMもセラミックも最初はパッと見変わらない様に見えます。ただ年数が経ってくるとだんだんと差が出てきます。なんと言ってもセラミックの一番のメリットは虫歯になりづらいことなので、できるだけ歯や歯の神経を残したい人にはおすすめの治療方法です。
自費診療(セラミック)で行う虫歯治療の症例紹介
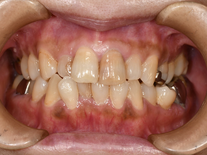
前歯の見た目を綺麗にしたい

Before

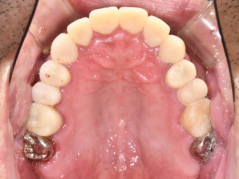
After
| 年齢 | 40歳代 |
|---|---|
| 性別 | 女性 |
| 治療期間/回数 | 約3ヶ月 |
| 費用 | 121,000円(税込)/本 |
| 治療方法 | ・セラミックスクラウン×6 |
| メリット | ・金属アレルギーの心配がない ・見た目が自然 ・長持ちする ・噛み合わせが崩れない |
| デメリット | ・保険診療に比べて高い ・1回の治療時間が長い |

